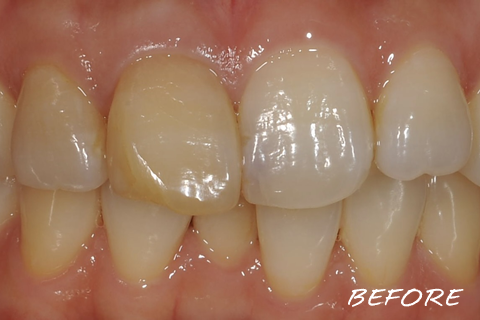
| 治療期間 | 1ヶ月 |
|---|---|
| 治療内容 | セラミック修復 |
| 主訴 | 審美障害 |
| 治療費 | 99,000円 (税込) |
| リスク・副作用 | 装着後の破損・歯肉退縮 |
審美治療
Aesthetic Dentistry
審美治療は、歯の美しさに重点を置いた総合的な歯科治療です。
単に歯をキレイにするだけでなく、長期にわたって機能性も維持することを目指します。
オールセラミック
All Ceramic
オールセラミックは、セラミックのみで作成された補綴物で、天然の歯のような透明感があり、自然な仕上がりを実現します。
美しさと自然さ
大きさ、形、質感、色調の自由度が高く、生まれつき美しい歯だったかのように仕上がります。
金属不使用
メタルフリーのため、金属アレルギーの方も安心して使用できます。
耐久性
細菌がつきにくく、虫歯になりにくいため、長持ちします。
生体親和性
歯茎への負担が小さく、神経を取った歯にも使用可能です。
素材
e.maxとジルコニアを使用しています。
オールセラミックは、従来の差し歯の欠点を改善し、天然の歯と見分けがつかないほどの美しさと自然さを実現しました。歯茎の黒ずみも起こりにくく、審美性に優れた治療法として注目されています。
セラミック治療の症例
ラミネートベニヤの症例
| 治療期間 | 1ヶ月 |
|---|---|
| 治療内容 | セラミック修復 |
| 主訴 | 審美障害 |
| 治療費 | 66,000円 (税込) |
| リスク・副作用 | 装着後の破損・歯肉退縮 |
ホワイトニング
Whitening
ホームホワイトニング
ホームホワイトニングは各社の製品を取り揃えています。患者様に合わせた製品をお勧め致します。
院内で、患者様の歯に合わせた専用マウストレーを作り、ご自宅で専用ジェルを入れたマウストレーを一日数時間装着するだけです。※装着期間は最長2週間です
【ホワイトニング料金】片顎 16,500円(税込)、上下顎 33,000円(税込)
ホワイトニングの症例
審美治療のお支払いは
クレジットカードがご利用可能です
高尾デンタルクリニック




