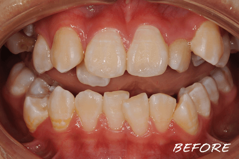
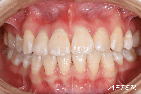
矯正治療とは、「矯正装置」や「マウスピース」等を使用し、歯に一定の力を加えて人工的に動かし、歯並びやかみ合わせを矯正する治療のことを言います。
矯正治療は、単に見た目を良くするだけではありません。歯並び・咬み合わせが悪く、虫歯や歯周病になりやすかった歯を健康にします。その他に、いびきや歯ぎしり、舌足らずな話し方が治ることもあります。
また、外見上のコンプレックスで悩んでいる人も、明るさと自信が取り戻せます。矯正治療は、心身ともに豊かさをもたらします。
矯正治療は虫歯、歯周病、顎関節症の予防にもなります。
髙尾デンタルクリニック
